今天的文章将围绕RNA甲基化m6A后期验证工具展开,详细介绍了几类高频的验证实验,一起来学习吧~

前言

做完测序后需要对分析结果中感兴趣的内容进行生物学功能验证,一个完整的功能验证将历经分子细胞→细胞功能→动物实验等形成完整的实验思路。其中分子细胞包括RNA-RNA互作验证(如miRNA与UTR互作验证)等。细胞功能包括敲低/敲除/过表达、蛋白细胞定位、蛋白与蛋白互作、蛋白与RNA/DNA互作、细胞表型实验(迁移侵袭、划痕、增殖、凋亡、周期)等。最后的动物实验主要指动物模型实验,如小鼠、斑马鱼等。除了qpCR外,接下来的内容中会选择其中几个高频的验证实验做介绍。

细胞蛋白定位/免疫荧光实验

免疫荧光细胞化学是根据抗原抗体反应的原理,先将已知的抗原或抗体标记上荧光素制成的荧光标记物,再用这种荧光抗体或抗原作为分子探针检查细胞或组织内的相应抗原或抗体。在细胞或组织中形成的抗原抗体复合物上含有荧光素,利用荧光显微镜观察标本,荧光素受到激光的激发照射而发出明亮的荧光(红色或绿色),就可以看荧光所在的细胞或组织,从而确定抗原就抗体的性质、定位,以及利用定量技术测定含量。

详细protocol请查看: https://link.springer.com/protocol/10.1007/978-1-4939-3064-7_14 。验证这类实验可以大致观察到一些重要的蛋白到底位于细胞核还是细胞质中等结果。

蛋白与蛋白互作(免疫共沉淀和GST pull down)

免疫共沉淀(Co-Immunoprecipitation)

免疫共沉淀(Co-Immunoprecipitation),简称Co-Ip, 其原理是当细胞在非变性条件下被裂解时,完整细胞内存在的许多蛋白质-蛋白质间的相互作用被保留了下来, 如果用蛋白质X的抗体anti-X(通常称为Ip抗体)将X特异地抓住并沉淀下来,那么与X在体内结合的蛋白质Y或者Z等也能共同被沉淀下来。目前多用protein A/G预先固化在琼脂糖或者磁珠beads上,protein A/G可以结合各种抗体,具有通用性,当然它们结合不同种属来源的抗体的亲和力有差异,比如protein A结合兔抗的结合力比G稍强, 具体需参考产品的说明书。因此利用Co-Ip实验可以(1)测定两种甚至更多种蛋白质是否在体内结合;(2)鉴定一种特定蛋白质的作用搭档;(3)分离得到天然状态的相互作用蛋白复合物。具体Co-Ip相关的protocol详见: https://link.springer.com/protocol/10.1007%2F978-1-62703-161-5_36 。

GST pull-down

酵母双杂交系统是将待研究的两种蛋白质分别克隆(融合)到酵母表达质粒的转录激活因子的DNA结合结构域和转录激活域上,构建成融合表达载体,从表达产物分析两种蛋白质相互作用的系统。

在此基础上,GST pull-down实验则是一个行之有效的验证酵母双杂交系统的体外试验技术,近年来越来越受到广大学者的青睐。其基本原理是将靶蛋白-GST融合蛋白亲和固化在谷胱甘肽亲和树脂上,作为与目的蛋白亲和的支撑物,充当一种“诱饵蛋白”,目的蛋白溶液过柱,可从中捕获与之相互作用的“捕获蛋白”(目的蛋白),洗脱结合物后通过SDS-pAGE电泳分析,从而证实两种蛋白间的相互作用或筛选相应的目的蛋白,“诱饵蛋白”和“捕获蛋白”均可通过细胞裂解物、纯化的蛋白、表达系统以及体外转录翻译系统等方法获得。此方法简单易行,操作方便。关于GST pull down以及其他蛋白-蛋白互作信息请查阅:https://link.springer.com/protocol/10.1007/978-1-60327-375-6_30 。

蛋白-RNA互作

RIp技术(RNA Binding protein Immunoprecipitation,RNA结合蛋白免疫沉淀),是研究细胞内RNA与蛋白结合情况的技术,是了解转录后调控网络动态过程的有力工具,能帮助我们发现miRNA的调节靶点、RNA结合蛋白调控的靶基因等。RIp这种新兴的技术运用针对目标蛋白的抗体把相应的RNA-蛋白复合物沉淀下来,然后经过分离纯化就可以对结合在复合物上的RNA进行分析。RIp可以看成是普遍使用的染色质免疫沉淀ChIp技术的类似应用,但由于研究对象是RNA-蛋白复合物而不是DNA-蛋白复合物,RIp实验的优化条件与ChIp实验不太相同(如复合物不需要固定,RIp反应体系中的试剂和抗体绝对不能含有RNA酶,抗体需经RIp实验验证等等)。RIp实验结束后富集到的RNA,既可以直接用于qpCR,也可用于芯片和测序实验等。RIp详细protocol请查看:https://link.springer.com/protocol/10.1007/978-1-4939-6380-5_7。

表型分析(细胞功能学实验)

细胞是生物有机体结构和功能的最小单位,体外细胞实验是文章的重要组成部分,目前细胞功能实验主要有:细胞增殖,对细胞分裂的速度进行评价;细胞凋亡,是相对复杂的过程,反映细胞自身的状态,此过程与疾病的发生有密切的关系;细胞侵袭,反映的是肿瘤细胞的浸润转移的能力;细胞周期,反映细胞的增殖速度以及细胞处在的分裂期。此部分实验一般是对细胞进行特定基因的过表达或者干扰沉默后,研究细胞的功能变化,进而评价该基因在细胞内的功能。

动物模型构建

人类疾病的动物模型(animal model of human disease)是指各种医学科学研究中建立的具有人类疾病模拟表现的实验动物。动物疾病模型广泛应用于疾病机制研究、新药靶点发现及筛选、药效评价、转化医学等医学前沿领域。目前实验模型分为疾病模型和成瘤模型。疾病模型的造模方法包含药物诱导、食物干预、手术等主流手段,造模后对主要的生理指标进行检测,保证模型的质量和特异性。动物成瘤模型是目前最为广泛应用的、也是肿瘤在体研究中最为普遍的手段。

动物模型造模后会有一系列的指标检测保证模型特征性。肿瘤成瘤模型可以自行提供肿瘤细胞,也可以利用联川生物细胞库中的细胞进行成瘤。成瘤实验一般需要进行预实验验证成瘤效果。

动物成瘤通常分为皮下成瘤和原位成瘤,一般步骤如下所示:

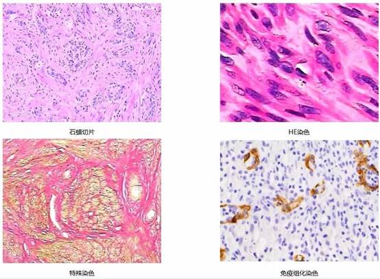
动物在体研究

动物在体研究包含病理研究和生理检测,涵盖动物病理解剖、组织石蜡切片制作、HE染色、特殊染色、免疫组织化学检测等。成瘤模型或者疾病模型造模成功后,可以直接做生理检测并按要求取材做病理分析。需要注意的是动物在体实验建议在SpF级实验室完成。

今天的内容讲完啦,大家记得收藏好慢慢学习哦~

以上后期验证服务联川也提供的哦~